Do I need to remove my Wisdom Teeth?
June 2024
Wisdom teeth are the last permanent teeth to appear and are known as the third molars. They are positioned at the back of the jaws, and can appear as early as 16 years old or as late as 65 years old. Not everyone will have wisdom teeth but generally people have up to four wisdom teeth, two on the top jaw and two on the bottom jaw.
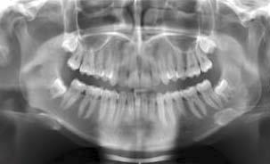
If your wisdom teeth are not visible, a full mouth x-ray (OPG) is used to assess the presence and position of these teeth. Your dentist can arrange for the x-ray to be done.
Wisdom teeth can grow in a variety of positions. A number of factors will determine whether your wisdom teeth will come through in a favourable position. These include the size of your teeth, the space available in the jaw, the position and angle of the wisdom teeth when they are developing. Your dentist will assess the position and angle of the wisdom teeth on your x-ray and can recommend the appropriate management of these teeth. When there is not enough room for the wisdom teeth to come through, they can become wedged or ‘impacted’.
Depending on their severity, impacted wisdom teeth can result in inflammation and infection of the gum covering the impacted tooth. When this happens, gum in the wisdom tooth region will appear red and swollen, and there may also be pain and discomfort, jaw stiffness and a general feeling of being unwell. The impacted wisdom teeth can occasionally cause pressure and damage to the neighbouring teeth and sometimes even form a cyst (sac of fluid) around themselves. If wisdom teeth come through partially or in a hard-to-reach area, they will be difficult to clean and therefore more prone to tooth decay and gum disease. Some dentists believe that impacted wisdom teeth can cause pressure on other teeth resulting in crowding of front teeth. However, this theory is very difficult to prove conclusively.
Wisdom teeth should be regularly monitored by your dentist. Dr Mark has over 20 years experience with the assessment and removal of wisdom teeth. Wisdom teeth can often be removed in the dental chair under local anaesthesia (injections). For complex cases, or if patients prefer to be asleep for the procedure, a referral to an oral and maxillofacial surgeon can be organised for a general anaesthesia.

