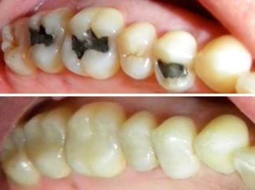
Dental Bonding and Tooth Coloured Fillings
Dr Mark has a conservative approach to fillings, only recommending fillings when absolutely necessary. Dental bonding can be used to rebuild and restore teeth with white fillings, giving you a healthy, natural looking smile.
Silver Amalgam Fillings
Silver amalgam has been used in dentistry for over one hundred years and is still a strong and reliable option for restoring posterior teeth. Dr Mark is happy to discuss the merits of different types of filling materials and place silver amalgam restorations if patients prefer.

